Kırıklarla ilgili beş yanlış bilgi
Kımıldatabiliyorsanız kırık yok mudur?
Vücudumuz herhangi bir darbe aldıktan sonra ciddi bir sorun olup olmadığını anlamak için o bölgeyi rahat kımıldatabiliyor muyuz diye sorulur. Kımıldatıyorsak herhangi bir kırık yok diye düşünülür.
Oysa bazen kırık bir kemiği kımıldatmak mümkündür. Bu nedenle kemikte çatlak olup olmadığını anlamada bir kriter değildir bu.
Kırığın üç belirtisi ağrı, şişme ve şekil bozukluğudur. Ayrıca olay anında kırılma sesi duymak da mümkündür.
Kırık her zaman ağrı yapar mı?
Bazen kırığa rağmen ağrı olmayabilir. Düşüp bir yerini kırdıktan sonra hiç ağrı çekmeden yaptığı aktiviteye devam eden çok insan olmuştur. Normalde kemikte kırık ve çatlak ağrıya neden olur; ama bazen bunun küçük bir yerde olması fark edilmemesine neden olabilir.
Herhangi bir enfeksiyona ve kemiğin eğri kaynamasına meydan vermemek için kırığı fark eder etmez doktora gitmek gerekir.
Ancak yapılan araştırmalar, kol, bacak, belkemiği veya kalçasını kıran bazı insanların vücudunda on yıllar sonra kronik bir ağrı hissi oluşabildiğini gösteriyor. Neyse ki bu tür vakalara sık rastlanmıyor.

Yaşlı beyaz kadınlar kemik erimesi nedeniyle kırığa daha mı yatkın?
İleri yaştaki kadınlarda kemikte kırılma riskinin gençlere göre daha fazla olduğu doğrudur. Menopoz nedeniyle hormonlarda yaşanan değişim kemik yoğunluğunda ani düşüşe yol açtığı için, kemik erimesi (osteoporoz) kaynaklı kırıklara sık rastlanır.
Etnik köken bakımından ise ABD'de beyaz kadınlarda kalça kırılması siyah kadınların iki katı düzeydedir. Siyah kadınların kemiklerinin daha sağlam olması, çocukluktan itibaren kemik yoğunluklarının daha yüksek, kemik kaybının daha düşük oranda olması gibi etkenlere bağlanıyor.
Siyah kadınlar da kemik erimesi sorunu yaşayabilir, ama onlarda oran daha düşüktür. ABD'de 50 yaş üstü siyah kadınların sadece yüzde 5'inde kemik erimesi olduğu sanılıyor. Ancak bu oranın düşük olması, örneğin ABD'de bu kadınların kontrol amaçlı sevk oranlarının ve teşhis konduktan sonra tedavilerinin düşük olmasına bağlanıyor.
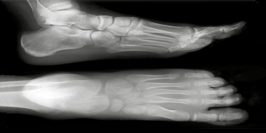
Ayak parmağı kırıldığında bir şey yapılmadığı için doktora görünmek gerekir mi?
Ayak parmağındaki kırık ve çatlaklarda alçıya alma söz konusu olmasa da kırığın çapını belirlemek ve uzun vadede ağrı ve deformasyona engel olmak için doktora görünmek gerekir. Kırık kötü bir açıda oluşmuşsa daha karmaşık bir tedavi, hatta ameliyat gerekebilir.
Kırık ayak parmakları çoğu zaman yanındaki parmaklara yapışık şekilde tutulur ve sert bir kalıp takılabilir. İyileşme süreci 4-6 haftadır. Ancak ayak baş parmağındaki kırıklar daha ciddidir ve bazen baldıra kadar alçıya alınıp 2-3 hafta bekletmek gerekebilir. Ama bunların kırılma ihtimali diğer parmaklardan daha düşüktür.
Kırık ayak tarağında ise, yandaki kemikler doğallığından birbirini düz tuttuğu için alçıya gerek olmaz ve ayak dinlendirildiği takdirde çoğu zaman düz bir şekilde iyileşir. Ancak baş ve küçük parmağın altındaki kemiklerin desteği olmadığından bunlarda ameliyat gerekebilir.
Alçıya almak gerekmese bile ayak parmaklarındaki kırık ve çatlakları doktora göstermek gerekir. Sağlık görevlileri parmağa destek olacak şekilde sargı takabileceği gibi, koltuk değneğine ihtiyaç olup olmadığını da belirleyebilir.

Kırık kemik iyileştikten sonra eskisinden daha mı sağlam olur?
Uzun vadede böyle bir şey söz konusu değildir. Ancak kırık iyileşirken etrafında koruyucu ekstra bir tabaka oluştuğundan buradaki kemik bir süreliğine normal kemikten daha sağlamdır. Zamanla bu tabaka ortadan kalkar ve birkaç yıl sonra buradaki kemik normale döner, ama yanındaki diğer kemiklerden daha sağlam olmaz.
Uyarı: Bu makale sadece genel bilgi verme amacıyla yazılmıştır ve doktor tavsiyesi olarak ele alınmaması gerekir. Makalenin içeriğinden yola çıkarak okurun kendi başına koyduğu teşhislerden BBC sorumlu değildir. Sağlığınızla ilgili herhangi bir endişeniz varsa doktorunuza danışın.
Kaynak:BBC Türkçe










Türkçe karakter kullanılmayan ve büyük harflerle yazılmış yorumlar onaylanmamaktadır.